24/7 ONLINE BOOKING FOR YOUR CONVENIENCE
24/7 ONLINE BOOKING
Dental wear and sensitivity don’t usually happen all at once. For many people, the changes are gradual — and over time, everyday things like eating, drinking, or chewing can start to feel uncomfortable.
What can contribute to dental wear
and sensitivity?
Older dental restorations that no longer support the bite evenly
Changes in bite alignment
Dry mouth, sometimes related to medications or medical conditions
When several of these factors are present together, the remaining teeth can end up doing more work than they were designed for, which may lead to sensitivity or discomfort when eating.
Why Dental Assessments Matter
Because dental wear and sensitivity can develop for different reasons, there’s no one-size-fits-all solution.
A comprehensive dental assessment gives your dentist the opportunity to:
Look closely at tooth wear and existing restorations
Assess how your teeth come together when you bite and chew
Review relevant dental and medical history
Talk through what you’re experiencing and what matters most to you
From there, appropriate management options can be discussed based on your individual needs and circumstances.
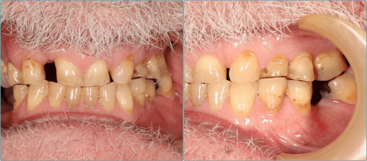
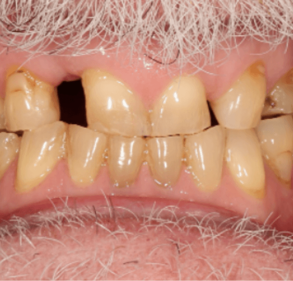
Sample Patient Clinical Scenerio

In one clinical example, a patient attended with concerns about worn teeth and ongoing sensitivity that had developed gradually over time.
On assessment, several contributing factors were identified, including tooth wear, missing back teeth, existing restorations, and reduced saliva associated with medication use. Together, these factors meant the remaining teeth were under increased load, which contributed to sensitivity during chewing.
This type of presentation is not uncommon and highlights why a careful, individualised approach is important.
Treatment approaches that
may be considered
Following assessment, treatment planning is tailored to the individual. Depending on a person’s oral health, medical history, and personal circumstances, management options may include one or more of the following approaches.
Managing
Worn Teeth
In some cases, composite restorations can be used to rebuild worn areas of teeth in a conservative way. Where additional strength is needed — particularly at the back of the mouth — ceramic onlays may be considered to help support chewing forces.

Replacing
Missing Teeth
Missing teeth can place extra pressure on the remaining teeth. Where appropriate, fixed, non-surgical options such as resin-bonded or cantilever bridges may be considered to help restore function.

Supporting Bite
And Function
When tooth wear and missing teeth affect how the bite works, bite stabilisation techniques may be used to help distribute forces more evenly. In certain situations, small adjustments to the bite may be carefully planned following detailed assessment.

Protecting Teeth
Long Term
To help reduce further wear, a protective splint may be recommended. Ongoing care, including regular reviews and hygiene visits, also plays an important role in maintaining oral health over time. Not all treatment options are suitable for every person, and planning is always individualised.

Care That’s Tailored To You
Everyone’s dental situation is different. Factors such as comfort, general health, lifestyle, and long-term maintenance all play a role in deciding which options are appropriate.
Disclaimer: Any surgical or invasive procedure carries risks. Before proceeding, you should seek a second opinion from an appropriately qualified health practitioner. All images are with patient consent. No filters, AI enhancements, or unrealistic lighting are used. Individual outcomes vary and are tailored to each patient’s clinical needs.
A personalised dental assessment
allows time to talk through:
Taking the next step
If dental wear or sensitivity is affecting your comfort, a comprehensive dental assessment can help identify contributing factors and explore options suited to your individual needs.
