24/7 ONLINE BOOKING FOR YOUR CONVENIENCE
24/7 ONLINE BOOKING
We’ll take through the different ways we can assist you achieving that perfect smile.

Restorations are dental treatments that restore the function, integrity and morphology of damaged and missing teeth. Restorative procedures can range from simple dental fillings to implants and everything in between.
Restoring your teeth not only gives you your smile back but will bring back functionality to your teeth. Restorative dentistry is designed to restore utility to improve chewing function, eliminate dental pain, repair and maintain oral health, and reduce the risk of future dental issues.
There are many reasons you may need restorative dentistry. Some of these reasons include:













Fillings are often used to treat cavities caused by bacteria eating away at the tooth enamel. During the procedure, we’ll remove all of the decayed bits of the tooth and fill it with a composite material designed to match the colour of your teeth. Fillings can stop teeth from further decaying and reduce the risk of damage in the future.

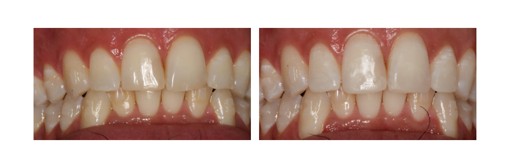
Crowns are a simple yet effective fix for broken and decayed teeth that need to be rebuilt. Often made from porcelain (Emax) and Zirconia, they’re designed to strengthen and stabilise teeth whilst blending in seamlessly.

Missing teeth? A bridge may be the answer. Gaps in our teeth can compromise both our oral health, overall health and our look as they reduce chewing function, make our cheek and lip sink in and increase the risk of decay and gum infections. Bridges are designed to fill in the gaps in our smile by bonding to the remaining teeth using crowns and artificial teeth.

Dental implant is a tooth replacement solution that fixes the issue from the root. A small, threaded metal post is implanted into your gum and acts as a tooth root. We’ll then add a crown to the implant that will look and function like a natural tooth. Unlike other restoration methods, implants don’t require the alteration of your natural teeth.

Denture is a great solution if you’re missing several teeth – or even an entire arch of teeth. They can either rest on top of your gums, supported by your jawbone, your teeth or you can opt for implant-supported dentures for a more stable option. Acrylic, Valplast or Cobalt – Chrome denture are economical alternatives to implant – supported restorations.

Veneers are thin layers of material that cover the front of your teeth. They’re designed to improve appearance rather than repair any damage. Veneers are a fantastic option if you have stained, discoloured, chipped, crowded-in or crooked teeth or damaged teeth from severe grinding or gum disease.
Veneers can be done in one visit using composite material or in 2 visits if you opt for porcelain (Emax) or zirconia.
Dr. Marcus is the best dentist I ever had he is kind, calm and he was really gentle with my teeth, I highly recommend him . The clinic is really nice, the lady at the reception is really nice. Definitely the best clinic!
Dr. Marcus is fantastic. He is kind, calm and extremely gentle with my teeth, I couldn’t recommend him more for someone who is scared of the pain associated with dental appointments. The clinic is a bit on the pricey side but it’s worth it for the service. And a TV on the roof is cool too lol.
Dr Tu Anh Pham is the best dentist I have ever had. She explains things well and makes sure you know what is happening throughout your appointment. She is also the gentlest dentist I have ever been to! I highly recommend her - especially for people who don’t like going to the dentist!
Best dental experience I have ever had. The clinic have a really holistic approach to dental with weighted blankets and a Tv screen on the roof when you recline to watch calming nature documentaries. Would definitely recommend if you are anxious about going to the dentist!
I had Marcus for the first time as my dentist and he was so nice and calm. He voice is so soothing and knows what he is doing. He listens and understands the customers needs and has a excellent helper on the side! Vanessa was also a brilliant lady, helping Marcus with cleaning and assisting the mouth. Lovely experience for the first time too and will definitely come back for a check-up again in a few months.
Leave your details below and we will contact you to schedule your appointment!
